Ученые признали воздействие выхлопных газов опасным для мозга

25 января 2023, 13:30
25 января 2023, 13:30 — Общественная служба новостей — ОСН

Канадские нейробиологи доказали, что даже кратковременное воздействие загрязненного воздуха снижает когнитивные способности человека. Исследование на тему опубликовали в BioMed Central.

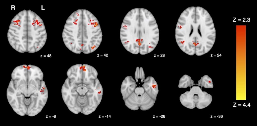
Ученые из университетов Британской Колумбии и Виктории впервые изучили влияние загрязненного выхлопными газами воздуха на работу человеческого мозга. Анализ показал, что всего два часа воздействия дизельных выхлопов могут вызвать снижение функциональных связей мозга.

В ходе эксперимента ученые тестировали воздействие выхлопных газов дизельного двигателя и фильтрованного воздуха на 25 здоровых взрослых людях. Активность мозга исследователи измеряли с помощью функциональной магнитно-резонансной томографии (фМРТ).

Фото: Jodie R. Gawryluk et al., Environmental Health, University of British Columbia

Исследование показало уменьшение функциональной связности, то есть, насколько хорошо различные области мозга коммуницируют друг с другом после воздействия выхлопных газов дизельного двигателя.

По словам специалистов, во время экспериментов нарушения были кратковременными и работа мозга восстановилась спустя несколько часов. Однако они также допускают, что при регулярном воздействии нарушения могут быть долгосрочными.

Ранее ученые сообщили, что у людей с травмами головы повышается риск преждевременной смерти. Подробнее об этом читайте в материале Общественной службы новостей.

Больше актуальных новостей и эксклюзивных видео смотрите в телеграм канале ОСН.